Conflit ulno carpien : une cause fréquente de douleur du poignet
Traitement des pathologies de la main à Bordeaux
Vous ressentez une douleur dorsale et ulnaire (du côté du petit doigt) du poignet, qui s’aggrave lorsque vous tournez la main, portez une charge ou appuyez sur la paume ? Il se pourrait que vous souffriez d’un conflit ulno carpien, également appelé syndrome d’impaction ulnaire du carpe. Cette pathologie, fréquente chez les patients actifs, les sportifs et les personnes ayant eu une fracture du poignet, peut devenir très invalidante si elle n’est pas diagnostiquée et traitée à temps.
Au Pôle Main Poignet de Bordeaux Mérignac, nos chirurgiens spécialisés dans les pathologies du poignet prennent en charge cette pathologie, en proposant un parcours de soins personnalisé, du diagnostic jusqu’au traitement chirurgical si nécessaire en passant par la rééducation et l’orthèse sur-mesure.
Comprendre le conflit ulno carpien
Le conflit ulno carpien correspond à un contact excessif entre l’extrémité distale du cubitus (l’os de l’avant-bras situé du côté du petit doigt) et les os du carpe et notamment le lunatum. Ce frottement anormal use progressivement le fibrocartilage du ligament triangulaire (TFCC), une structure clé de l’articulation, et peut entraîner une usure du cartillage du lunatum, des lésions ligamentaires (luno triquétrale), une inflammation chronique, voire une arthrose à long terme.
Ce phénomène est particulièrement fréquent lorsque le cubitus (en bleu sur la photo) est plus long que le radius (en vert sur la photo), une configuration anatomique appelée variance ulnaire positive. Cette situation peut être d’origine constitutionnelle, ou apparaître secondairement après une fracture du radius. L’usure mécanique qui en résulte peut engendrer une douleur persistante, surtout lors des mouvements de rotation (comme tourner une clé ou visser un objet), ou à l’appui sur la main.
Quels sont les symptômes du conflit ulno carpien ?
Chirurgie orthopédique à Bordeaux
Le conflit ulno-carpien se manifeste généralement par une douleur située sur le bord dorsal et ulnaire (du côté du petit doigt) du poignet. Cette douleur est souvent sourde en journée, mais elle peut devenir vive lors de certains gestes du quotidien, notamment les mouvements de rotation ou les appuis prolongés sur la paume.
Avec le temps, on observe parfois une perte de force, une gêne à la préhension, voire une sensation d’instabilité ou des petits claquements dans le poignet. Certains patients décrivent une sensation de blocage ou un gonflement discret au niveau de l’articulation.
Comment se fait le diagnostic ?
Le diagnostic de conflit ulno carpien repose sur un examen clinique spécialisé, réalisé par un chirurgien de la main. Celui-ci recherche des signes évocateurs par des tests spécifiques de mise en contrainte du poignet.
Des examens d’imagerie sont ensuite prescrits pour confirmer le diagnostic. Les radiographies standards du poignet permettent de mesurer la longueur relative du radius et du cubitus (variance ulnaire). Une IRM ou un arthroscanner permet de visualiser les lésions du fibrocartilage triangulaire et l’état des surfaces articulaires (le cercle rouge sur la photo montre une usure du cartilage sur le pôle proximal du semi-lunaire).
Le conflit ulno carpien : une cause fréquente de douleur du poignet
Pôle Main poignet en Nouvelle-Aquitaine
Quels sont les traitements possibles ?
Le traitement du conflit ulno carpien dépend de la gravité des symptômes, de la morphologie osseuse du poignet et des lésions associées. Dans les formes débutantes ou peu invalidantes, un traitement conservateur peut être proposé. Il repose sur le port d’une attelle de repos, des séances de rééducation, des anti-inflammatoires ou des infiltrations. Cependant, ces mesures ne corrigent pas la cause mécanique du conflit et sont rarement efficaces sur le long terme si le cubitus est réellement trop long.
Lorsque la gêne devient importante ou si les examens révèlent des lésions articulaires, un traitement chirurgical est recommandé. Deux grandes techniques sont utilisées par notre équipe, selon les cas.
L’arthroscopie du poignet (technique wafer)
Cette intervention mini-invasive consiste à retirer une fine portion de l’extrémité du cubitus sous arthroscopie, afin de diminuer la pression sur le carpe. Elle est indiquée lorsque la variance ulnaire est modérée. Les suites sont généralement simples, avec une immobilisation courte et une récupération rapide. C’est une technique peu agressive, permettant une reprise des activités dans un délai de six à douze semaines.
L’ostéotomie de raccourcissement cubital
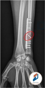
Lorsque le cubitus est clairement trop long ou si le poignet présente des lésions cartillagineuse entre l’ulna et le semi-lunaire, une ostéotomie de l’ulna est indiquée. Cette opération consiste à retirer quelques millimètres d’os au niveau du cubitus (zone entouré par le cercle rouge sur la photo) et à fixer l’os avec une plaque et des vis. Ce geste corrige durablement le conflit mécanique et permet une amélioration significative des douleurs. L’immobilisation post-opératoire est de 6 à 12 semaines, et la rééducation se poursuit sur plusieurs semaines. La plupart des patients reprennent une activité professionnelle manuelle entre trois et six mois après l’intervention.

Quel est le pronostic après traitement ?
Le pronostic est très favorable lorsqu’un traitement adapté est proposé. Plus de 85 % des patients opérés pour un conflit ulno carpien sont satisfaits à long terme, avec une nette amélioration de la douleur, de la force et de la mobilité du poignet. La reprise des activités sportives ou professionnelles est généralement possible après quelques mois, en fonction du type de geste réalisé.
Une surveillance régulière peut être nécessaire pour prévenir une usure secondaire du cartilage, surtout en cas de gestes professionnels répétitifs.
Pourquoi consulter à la clinique de la main Bordeaux Mérignac ?
Le Pôle Main Poignet de Bordeaux Mérignac est un centre spécialisé dans la prise en charge des pathologies du poignet. Notre équipe est composée de chirurgiens de la main expérimentés, formés aux techniques les plus modernes de chirurgie du poignet, y compris l’arthroscopie poignet et l’ostéotomie de l’ulna. Nous disposons d’un plateau technique complet, incluant imagerie avancée, bloc opératoire dédié à la chirurgie de la main, et partenariat avec des kinésithérapeutes spécialisés en rééducation de la main et du poignet.
Notre approche est centrée sur le patient, avec un diagnostic précis, une prise en charge personnalisée et un suivi post-opératoire rigoureux.