Maladie de Kienböck – Nécrose du semi-lunaire
Traitement des pathologies de la main à Bordeaux
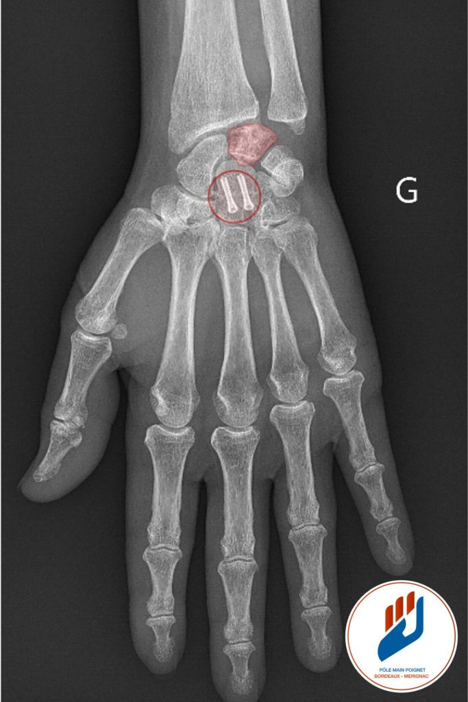
La maladie de Kienböck est une pathologie rare du poignet qui touche l’os semi-lunaire (en rouge sur la figure 1). Elle se caractérise par la nécrose du lunatum. Cette nécrose osseuse est la conséquence d’un manque de vascularisation sanguine destiné à cet os. L’os perd sa solidité et peut progressivement se fracturer. Cette maladie entraîne généralement des douleurs, des raideurs et une perte de mobilité du poignet, affectant la qualité de vie. Elle évolue vers l’arthrose du poignet.
La maladie de Kienböck est une pathologie rare, touchant environ 1 personne sur 100 000 chaque année. Elle survient principalement chez l’adulte jeune, d’âge moyen entre 20 et 40 ans. Bien que la maladie affecte les deux sexes, elle est plus fréquente chez les hommes. Les causes exactes de la maladie de Kienböck restent floues, mais certains facteurs de risque ont été identifiés. Les traumatismes répétés du poignet, les fractures, ou encore certaines anomalies anatomiques (variance ulnaire négative : ulna court) sont des éléments pouvant augmenter le risque de développer cette maladie. Toutefois, dans certains cas, la maladie se développe sans cause évidente.
Comment faire le diagnostic ?
Chirurgie orthopédique à Bordeaux
Le diagnostic de la maladie de Kienböck repose sur une évaluation clinique et des examens complémentaires. Le médecin commence généralement par interroger le patient sur ses symptômes (douleur, raideur, faiblesse au poignet) et son historique médical, en particulier les antécédents de traumatismes au poignet. À l’examen physique, la douleur se situe souvent à la face dorsale du poignet et surtout lors de mouvements de flexion ou d’extension. Cependant, pour confirmer le diagnostic, des examens complémentaires sont nécessaires.
L’imagerie joue un rôle essentiel dans le diagnostic de la maladie de Kienböck et permet de déterminer son stade. La radiographie standard reste le premier bilan à réaliser. Elle permet de voir les fractures ou la déformation du lunatum dans les formes avancées de la pathologie. Cependant, les premiers stades de la nécrose peuvent ne pas être visibles sur les radiographies classiques.
L’IRM est beaucoup plus sensible pour détecter les signes précoces de la nécrose avasculaire. Elle permet d’observer les changements dans la structure osseuse (œdème osseux) et de détecter la présence de liquide dans l’articulation.
La scintigraphie osseuse, quant à elle, peut également être utilisée pour identifier des zones de mauvaise circulation sanguine dans l’os lunatum. Ces techniques d’imagerie sont complémentaires et permettent au médecin de poser un diagnostic précis et de suivre l’évolution de la maladie au fil du temps.
Les traitements proposés au Pôle Main Poignet Bordeaux Mérignac
Pôle Main poignet en Nouvelle-Aquitaine
Traitement conservateur
Dans les stades précoces de la maladie le port d’une attelle de poignet peut être recommandé pour limiter les mouvements pour une durée de six semaines. Malheureusement le traitement conservateur est le plus souvent dépassé au moment du diagnostic.
Traitement chirurgical : Décompression osseuse
La décompression osseuse est l’une des techniques de référence dans les formes précoces de la maladie de Kienböck (stades I et II de Lichtman). Elle vise à améliorer la vascularisation du lunatum en réduisant les contraintes mécaniques qui s’exercent sur lui, notamment lorsqu’il est « coincé » entre le radius et le capitatum.
Plusieurs ostéotomies peuvent être réalisées selon la morphologie du poignet et la cause mécanique suspectée :
- Ostéotomie de raccourcissement du radius : on retire une fine lamelle osseuse du radius distal afin de diminuer la pression exercée sur le lunatum et de redistribuer les contraintes.
- Ostéotomie de raccourcissement du capitatum : cette variante plus rare consiste à raccourcir légèrement le capitatum pour limiter son impact compressif sur le lunatum.
Dans les suites, une immobilisation du poignet est nécessaire jusqu’à consolidation du trait d’ostéotomie, généralement pendant plusieurs semaines.
Cette approche chirurgicale donne de bons résultats aux stades précoces, avec une diminution notable des douleurs et parfois une stabilisation de l’évolution de la maladie. Elle est particulièrement indiquée chez les patients jeunes, actifs, et dont le lunatum est encore viable, car elle permet de préserver l’articulation et de retarder (voire éviter) le recours à des gestes plus lourds.

Traitement chirurgical : Greffe osseuse vascularisée du 4ᵉ–5ᵉ compartiment des extenseurs
Dans les formes avancées de la maladie de Kienböck, lorsque le lunatum est gravement endommagé mais encore potentiellement sauvé, il est possible de recourir à une greffe osseuse vascularisée. Cette technique de pointe, réalisée sous microchirurgie, consiste à prélever un fragment osseux vascularisé au niveau du radius (souvent à partir de l’artère du 4ᵉ–5ᵉ compartiment des extenseurs) et à le transférer dans le lunatum malade.
L’objectif est de redonner un apport sanguin au lunatum, permettant :
- de favoriser sa revitalisation,
- de prévenir l’effondrement osseux,
- de ralentir l’évolution vers l’arthrose du poignet.
Cette greffe est fréquemment associée à une ostéotomie de décompression (souvent un raccourcissement ulnaire ou un allongement radial), afin de réduire les contraintes mécaniques sur le lunatum et d’optimiser les conditions de cicatrisation.
Il s’agit d’une chirurgie techniquement exigeante, réservée aux centres spécialisés tels que le Pôle Main Poignet Bordeaux Mérignac, et proposée principalement dans les stades intermédiaires (II–IIIA de Lichtman), quand le lunatum est encore partiellement viable.
Les résultats rapportés montrent une amélioration notable de la douleur et de la fonction, surtout chez les patients jeunes et actifs, avec un potentiel de préserver le poignet avant d’éventuelles solutions plus radicales (résection carpéenne, arthrodèse).

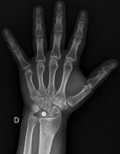
Traitement chirurgical : Remplacement prothétique du lunatum : Implant en pyrocarbone APSI
Lorsque l’os lunatum est détruit, effondré et non viable, une alternative chirurgicale consiste à le remplacer par une prothèse en pyrocarbone (APSI®). Cette option, plus récente, est proposée au Pôle Main Poignet Bordeaux Mérignac dans des cas bien sélectionnés.
Le pyrocarbone est un matériau biocompatible, dont les propriétés mécaniques se rapprochent de celles de l’os et du cartilage. L’implant a pour objectif de :
- Maintenir l’espace carpien après l’ablation du lunatum,
- Préserver une certaine mobilité du poignet, contrairement aux techniques de fusion,
- Réduire significativement les douleurs liées à l’effondrement et aux frottements osseux,
Cette technique est principalement indiquée dans les stades intermédiaires ou avancés de la maladie de Kienböck (IIIB–IV) chez des patients motivés, souhaitant conserver la mobilité de leur poignet et éviter une chirurgie plus radicale.
Le recul scientifique montre des résultats encourageants, avec une amélioration de la douleur, une conservation fonctionnelle et une satisfaction élevée des patients.

Traitement chirurgical : Arthrodèse du carpe ou résection de la première rangée dans la maladie de Kienböck
Dans les formes très avancées de la maladie de Kienböck, lorsque le lunatum est effondré et que l’arthrose du poignet s’installe, les options chirurgicales conservatrices (ostéotomies, greffes, revascularisation) ne sont plus adaptées. On parle alors de chirurgie de sauvetage, dont l’objectif principal est de soulager les douleurs chroniques et de préserver une fonction résiduelle du poignet.
Deux grandes stratégies peuvent être proposées :
- L’arthrodèse partielle du carpe
Elle consiste à fusionner certains os du carpe (arthrodèse scapho-capitate, voire scapho-trapézo-trapézoïdienne associée). Cette intervention stabilise le poignet, diminue les mouvements anormaux responsables de douleurs et permet une amélioration fonctionnelle. La mobilité est réduite, mais la force et la stabilité sont améliorées. - La résection de la première rangée du carpe (PRC)
Cette technique consiste à retirer le scaphoïde, le lunatum et le triquétrum. Elle conserve un certain arc de mobilité du poignet tout en supprimant la douleur liée aux surfaces articulaires détruites. Son efficacité dépend toutefois de l’intégrité du cartilage de la tête du capitatum et de la surface radiale : si ceux-ci sont trop altérés, les résultats sont moins satisfaisants.
Conclusion
La maladie de Kienböck est une pathologie rare et complexe du poignet qui peut avoir des conséquences fonctionnelles importantes si elle n’est pas prise en charge précocement. Son diagnostic repose sur une imagerie adaptée et l’expertise de spécialistes. Selon le stade de la maladie, différents traitements peuvent être proposés, allant de techniques conservatrices ou de revascularisation osseuse à des solutions plus radicales comme la prothèse ou l’arthrodèse.
L’objectif de la prise en charge est toujours le même : soulager la douleur, préserver la mobilité et retarder l’évolution vers l’arthrose du poignet. Chaque cas étant unique, il est essentiel que le patient bénéficie d’une prise en charge personnalisée au sein d’un centre spécialisé réunissant chirurgiens de la main, radiologues, kinésithérapeutes et orthésistes.
Au Pôle Main Poignet Bordeaux Mérignac, notre équipe multidisciplinaire s’engage à offrir aux patients une évaluation complète et un traitement adapté à leur situation, en privilégiant chaque fois que possible les techniques qui permettent de préserver la fonction du poignet et d’améliorer la qualité de vie.