Qu’est-ce que le ligament scapholunaire ?
Traitement des pathologies de la main à Bordeaux
La douleur du poignet est un motif fréquent de consultation en chirurgie de la main. Parmi les causes les plus courantes, la lésion du ligament scapholunaire est souvent méconnue, alors qu’elle peut être à l’origine d’une instabilité chronique du poignet et d’une usure progressive de l’articulation.
Dans cet article, les chirurgiens du Pôle Main Poignet Bordeaux Mérignac vous expliquent comment reconnaître cette lésion, comment elle se diagnostique et quelles sont les solutions de traitement possibles, du plus simple au plus complexe.
Le ligament scapholunaire (ou SLIL, scapholunate interosseous ligament) relie deux os centraux du carpe : le scaphoïde, situé du côté du pouce, et le lunatum, au centre du poignet.
Ce petit ligament joue un rôle majeur : il synchronise les mouvements de ces deux os, garantissant la stabilité du poignet lors des gestes de force, de torsion ou d’appui.
Lorsqu’il est rompu, le scaphoïde et le lunatum perdent leur coordination : ils bougent indépendamment l’un de l’autre, créant une instabilité scapholunaire.
Avec le temps, cette désorganisation des mouvements provoque une usure du cartilage et peut conduire à une arthrose scapholunaire (SLAC wrist).
Comment survient une lésion du ligament scapholunaire ?
Chirurgie orthopédique à Bordeaux
Le plus souvent, la lésion résulte d’une chute sur la main en extension, typiquement lors d’un accident de sport ou d’un choc violent (vélo, ski, moto).
Le poignet se tord brusquement, entraînant soit une distension, soit une rupture partielle, soit une rupture complète du ligament.
Certaines lésions passent inaperçues initialement : la douleur s’estompe, mais l’instabilité persiste. Sans traitement, cette instabilité mécanique peut évoluer vers des douleurs chroniques et une arthrose prématurée du poignet.
Lésions du ligament scapholunaire
Pôle Main poignet en Nouvelle-Aquitaine
Diagnostic : une expertise spécialisée au Pôle Main Poignet Bordeaux Mérignac
Au Pôle Main Poignet Bordeaux Mérignac, nous sommes spécialisés dans le diagnostic et la prise en charge des lésions du ligament scapholunaire.
Ces pathologies nécessitent une évaluation précise, combinant examen clinique, imagerie dynamique et analyse arthroscopique lorsque cela est nécessaire.
Chaque patient bénéficie d’un bilan complet, réalisé en étroite collaboration entre les chirurgiens de la main et des radiologues expérimentés, spécialisés dans l’imagerie du poignet.
Examen clinique spécialisé
Le diagnostic débute toujours par une consultation avec un chirurgien de la main.
Des tests spécifiques, tels que le test de Watson ou le test de Ballottement, permettent d’évaluer la stabilité dynamique du couple scapho-lunaire et d’orienter vers le type d’instabilité (prédynamique, dynamique ou statique).
Bilan d’imagerie dynamique
Lorsqu’une lésion du ligament scapholunaire est suspectée, chaque patient bénéficie d’un examen complet directement au sein du Pôle. Ce bilan comprend des radiographies et une échographie dynamique, comparée à l’autre poignet afin d’évaluer précisément la stabilité du binôme scapholunaire.
Ces examens sont réalisés sur place par des radiologues expérimentés, spécialisés dans l’imagerie de la main et du poignet, garantissant ainsi un diagnostic fiable.
Ce bilan permet de visualiser, en mouvement, le comportement du scaphoïde et du lunatum, et de distinguer les différents stades d’instabilité :
- Prédynamique : instabilité clinique visible uniquement à l’arthroscopie
- Dynamique : instabilité apparaissant uniquement sur les examens dynamiques (échographie, radios en stress).
- Statique réductible : déformation visible sur les clichés standards, mais corrigeable manuellement.
- Statique non réductible : désaxation fixée, souvent liée à une rupture ancienne.
- Arthrosique : présence de signes d’usure du poignet (SLAC wrist).

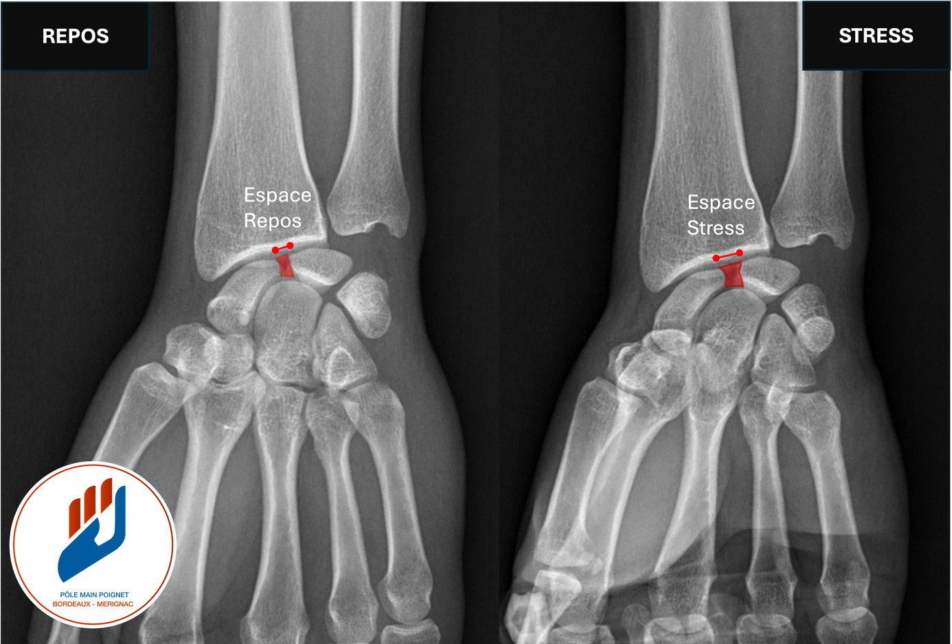
Radiographie dynamique du poignet: le cliché en stress dévoile une instabilité dynamique. L’espace entre le scaphoïde et le semi lunaire se majore en stress : Espace Repos < Espace Stress
Examens complémentaires selon le stade
En fonction du stade de la lésion, des examens complémentaires peuvent être prescrits :
- Arthroscanner : il permet une analyse fine du cartilage, de la continuité ligamentaire et des structures capsulaires. Cet examen recherche spécifiquement :
- une subluxation postérieure du scaphoïde, témoin d’une perte d’alignement du carpe ;
- la mise en évidence d’une rupture du ligament scapholunaire, qu’elle soit partielle ou complète ;
- un diastasis scapholunaire statique, c’est-à-dire un écart anormal persistant entre le scaphoïde et le lunatum.

- Ces éléments traduisent une instabilité mécanique du poignet et orientent vers la stratégie thérapeutique la plus adaptée.
- L’arthroscanner permet également de dépister les complications liées à la subluxation postérieure du scaphoïde, notamment l’apparition d’une arthrose marginale postérieure radio-scaphoïdienne. Cette usure du cartilage, localisée entre le radius et le bord postérieur du scaphoïde, constitue le premier signe d’évolution vers une arthrose scapholunaire (SLAC wrist).

- IRM ou arthro-IRM : elles sont particulièrement utiles dans les formes précoces ou partielles, pour évaluer la qualité du ligament, la présence d’un œdème osseux et l’état de la capsule dorsale.
Ces examens sont réalisés avec un protocole spécifique poignet, par des radiologues partenaires du Pôle spécialisés dans l’imagerie du carpe.
Arthroscopie diagnostique et thérapeutique
Dans certaines situations, notamment lorsque le diagnostic reste incertain ou que la gêne persiste malgré des examens normaux, une arthroscopie du poignet peut être proposée.
Cet examen, réalisé sous anesthésie locorégionale, permet de visualiser directement le ligament scapholunaire et d’évaluer la qualité de sa continuité.
Il s’agit à la fois d’un outil diagnostique et parfois thérapeutique : des gestes associés peuvent être réalisés dans le même temps (shrinkage thermique, capsuloplastie, suture ligamentaire, débridement…).
Grâce à cette approche multidisciplinaire — associant expertise clinique, imagerie dynamique de haut niveau et techniques arthroscopiques avancées —, le Pôle Main Poignet Bordeaux Mérignac assure un diagnostic précis et individualisé pour chaque patient, permettant d’adapter la stratégie de traitement à la nature exacte de la lésion.
Traitements : de la rééducation à la chirurgie
Le traitement dépend du type de lésion (partielle ou complète), de son ancienneté, et de la présence ou non d’instabilité visible sur les examens.
1. Lésions partielles ou instabilités précoces
Toutes les lésions du ligament scapholunaire ne nécessitent pas une chirurgie lourde.
Lorsqu’il s’agit d’une rupture partielle ou d’une instabilité prédynamique, la prise en charge peut être fonctionnelle ou mini-invasive.
Traitement fonctionnel et rééducation
Une immobilisation temporaire (attelle ou plâtre) est souvent proposée pour soulager la douleur et favoriser une cicatrisation partielle.
Elle est suivie d’une rééducation spécifique avec un kinésithérapeute spécialisé dans la main, visant à :
- Renforcer les muscles stabilisateurs du carpe,
- Améliorer la coordination et la proprioception,
- Corriger les gestes à risque.
Ce travail musculaire peut, à lui seul, stabiliser activement le poignet et permettre une récupération complète.
Traitement arthroscopique mini-invasif
Si la douleur persiste ou que l’instabilité est visible à l’arthroscopie, un traitement arthroscopique peut être proposé :
- Shrinkage thermique : resserrement des fibres ligamentaires distendues par radiofréquence.
- Capsuloplastie arthroscopique : plicature de la capsule dorsale pour renforcer la stabilité du poignet.
Ces techniques mini-invasives permettent une récupération rapide, avec une diminution marquée de la douleur, une meilleure force de préhension et une restauration de la stabilité.
L’objectif est de stabiliser le poignet avant que l’instabilité ne devienne irréversible.
Ruptures complètes et instabilités avancées
Lorsque le ligament est totalement rompu et que l’instabilité est installée, une intervention chirurgicale est nécessaire.
Réinsertion directe du ligament scapholunaire
Quand la lésion est récente (3 à 6 semaines), on peut réparer directement le ligament.
Sous anesthésie locorégionale, le chirurgien réinsère le ligament sur son insertion osseuse (fils transosseux ou micro-ancres). Cette chirurgie peut se faire sous arthroscopie ou à ciel ouvert en fonction de la lésion.
Pour une cicatrisation solide, on associe une immobilisation interne temporaire par brochage scapholunaire (6 à 8 semaines), puis retrait simple des broches.
Dans le même temps, nous réinsérons le ligament intercarpien dorsal au niveau du tubercule dorsal du scaphoïde et réparons le DCSS (septum capsulo-scapholunaire dorsal) afin de renforcer la stabilité dorsale et prévenir la récidive.
Après ablation des broches, une rééducation spécialisée débute pour récupérer mobilité, force et coordination.
Cette stratégie anatomique est la référence des formes aiguës : douleur en nette baisse, stabilité restaurée et biomécanique préservée.
Ténodèses et ligamentoplasties : reconstruire un ligament scapholunaire stable
Dans les formes chroniques ou irréparables, on reconstruit le ligament avec un tendon prélevé à la face palmaire de l’avant-bras, le plus souvent le long palmaire ; s’il est absent (10–15 % des cas), on utilise le fléchisseur radial du carpe.
Le tendon est fixé au scaphoïde par des ancres et chemine dans une travée osseuse reliant le scaphoïde au lunatum pour reproduire la trajectoire et la tension du ligament naturel.
le tendon est fixé aux os par des ancres spécifiques, offrant un ancrage solide tout en préservant la vascularisation des os.
Le tendon est ensuite passé au dessus de la capsule articulaire et fixé par une ancre spécifique au niveau du pied du scaphoïde.
Au Pôle Main Poignet Bordeaux Mérignac, nous privilégions une ligamentoplastie combinée : le tendon remplace le ligament et plaques la capsule dorsale contre le scaphoïde, réalisant un double verrouillage du couple scapholunaire.
Ce montage est souvent complété par un brochage temporaire bloquant les articulations scapho-lunaire et scapho-capitale durant le temps de la cicatrisation.
Résultats attendus : stabilité durable, douleur diminuée, fonction satisfaisante, et prévention de l’arthrose secondaire.

Arthrodèses partielles (gestes de sauvetage)
En cas d’arthrose installée, certaines arthrodèses partielles (fusion ciblée de quelques os) soulagent la douleur tout en préservant une partie de la mobilité. Indiquées en dernier recours.
Suites opératoires et rééducation
Après chirurgie, le poignet est immobilisé 8 et 12 semaines, puis une rééducation spécialisée est entreprise pour récupérer mobilité, force et stabilité dynamique.
La reprise des activités sportives ou professionnelles lourdes survient en général entre 3 et 6 mois.
Pourquoi consulter dans une clinique spécialisée ?
Les lésions du ligament scapholunaire sont complexes et nécessitent une expertise dédiée.
Au Pôle Main Poignet Bordeaux Mérignac, notre équipe pluridisciplinaire spécialisée (chirurgiens, kinésithérapeutes, orthésistes et radiologues spécialisés) propose une prise en charge intégrée, du diagnostic à la réparation ou reconstruction la plus adaptée, jusqu’à la rééducation.
En résumé
- Le ligament scapholunaire est une structure clé pour la stabilité du poignet.
- Le Pôle Main Poignet Bordeaux Mérignac est spécialisé pour le diagnostic dynamique et la prise en charge (réparation, ligamentoplastie, rééducation).
- Des ancres spécifiques et la ligamentoplastie à double verrouillage apportent une stabilité durable tout en préservant la vascularisation.
Une prise en charge précoce et personnalisée prévient l’arthrose et optimise le résultat fonctionnel.
FAQ – Lésions du ligament scapholunaire
Peut-on guérir d’une lésion du ligament scapholunaire sans chirurgie ?
Oui, dans certains cas. Les lésions partielles peuvent guérir grâce à une immobilisation puis une rééducation spécifique.
En revanche, les ruptures complètes ne cicatrisent pas spontanément et nécessitent une réparation ou reconstruction pour éviter l’instabilité chronique.
Quand faut-il envisager une chirurgie du ligament scapholunaire ?
Si la douleur persiste malgré le traitement conservateur, s’il existe une instabilité objectivée aux examens, ou si la lésion est ancienne et irréparable directement.
Le choix se fait entre réinsertion, ligamentoplastie (tendon long palmaire ou FRC en alternative), ou ténodèse combinée, selon le stade.
Quelle est la durée de la rééducation après chirurgie ?
Après 6–8 semaines d’immobilisation, la rééducation s’étale en moyenne sur 3 à 4 mois.
Objectifs : mobilité, renforcement des stabilisateurs, récupération fonctionnelle.
La reprise du sport ou des travaux lourds se fait généralement entre 3 et 6 mois.
Quelles sont les conséquences si l’on ne traite pas ?
Le risque majeur est l’instabilité chronique avec douleurs persistantes et perte de force, puis l’arthrose scapholunaire (SLAC wrist).
Un diagnostic précoce dans un centre spécialisé évite cette évolution.
Pourquoi consulter au Pôle Main Poignet Bordeaux Mérignac ?
Parce que nous sommes spécialisés dans ces lésions :
- bilan dynamique radiographique et échographique par des radiologues experts,
- examens ciblés (IRM, arthroscanner, arthroscopie),
- réparations anatomiques et ligamentoplasties avec ancres spécifiques (stabilité immédiate, vascularisation préservée),
- parcours de rééducation coordonné.
Douleur persistante après une entorse ou une chute ?
Prenez rendez-vous pour un bilan spécialisé au Pôle Main Poignet Bordeaux Mérignac. Nous vous accompagnons de A à Z pour retrouver un poignet stable, mobile et indolore.