Qu’est-ce qu’une fracture du radius distal ?
Traitement des pathologies de la main à Bordeaux
Le radius est l’un des deux os de l’avant-bras. Son extrémité distale participe à la formation de deux articulations essentielles pour le fonctionnement du poignet et de la main.
La première est l’articulation radio-carpienne (ARC), qui relie le radius aux os du carpe. Elle permet les mouvements principaux du poignet : la flexion, l’extension et les inclinaisons latérales. C’est elle qui permet d’approcher la paume vers l’avant-bras, de relever la main vers le haut ou de dévier le poignet vers le pouce ou le petit doigt.
La seconde est l’articulation radio-ulnaire distale (RUD), qui unit le radius et l’ulna dans leur partie terminale. Cette articulation est indispensable pour effectuer les mouvements de rotation de l’avant-bras : tourner la paume vers le haut (supination) ou vers le bas (pronation). Ces gestes paraissent anodins, mais ils sont indispensables pour des actions quotidiennes comme ouvrir une porte, tourner une bouteille, utiliser un tournevis ou simplement taper sur un clavier.
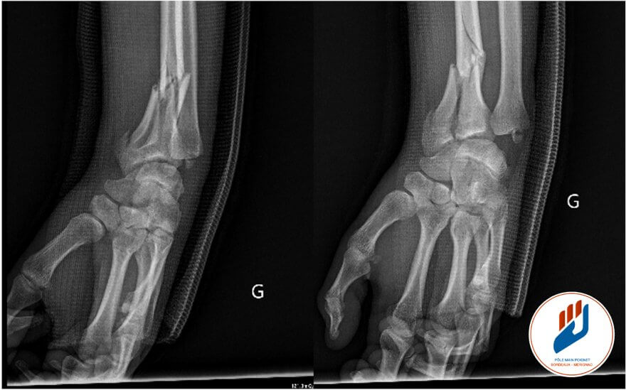
Fracture du radius distal
Chirurgie orthopédique à Bordeaux
Lors d’un traumatisme, l’extrémité du radius peut se fracturer. La fracture peut être extra-articulaire (sans toucher le cartilage) ou être intra-articulaire lorsqu’elle atteint l’une ou l’autre de ces articulations. L’atteinte articulaire est une notion importante, car le cartilage ne cicatrise pas comme l’os. Une fracture qui pénètre dans l’articulation radio-carpienne ou la RUD expose à un risque plus élevé de raideur, de douleurs persistantes et à plus long terme, d’arthrose si les surfaces articulaires ne sont pas parfaitement réalignées.
Il existe plusieurs types de fractures du radius distal :
- fractures extra-articulaires / fractures intra-articulaires touchant une ou plusieurs surfaces articulaires
- fractures simples ou comminutives (en plusieurs fragments),
- fractures déplacées ou non déplacées,
- fractures associées à une atteinte de l’ulna ou du styloïde ulnaire, parfois révélatrices d’une atteinte de la RUD ou du ligament triangulaire (TFCC).
La stabilisation correcte de cette région est essentielle, car l’extrémité distale du radius joue un rôle central dans la transmission des forces entre la main et l’avant-bras, mais également dans la précision des mouvements. Une fracture mal réduite peut modifier l’orientation de l’articulation, perturber les rotations de l’avant-bras (prono-supination) et entraîner des séquelles fonctionnelles importantes.
Les techniques modernes, comme l’ostéosynthèse par plaque palmaire par la méthode mini-invasive MIPO, permettent de restaurer avec précision l’anatomie articulaire afin de préserver la mobilité et la fonction du poignet.
Fracture du radius distal - Technique MIPO
Pôle Main poignet en Nouvelle-Aquitaine
Pourquoi opérer certaines fractures du poignet ?
Certaines fractures, peu déplacées, ne nécessitent qu’une immobilisation.
Cependant, d’autres présentent un déplacement important, une instabilité ou une comminution qui ne permettent pas de maintenir une réduction correcte dans un simple plâtre.
Sans stabilisation chirurgicale, ces fractures peuvent :
- se déplacer quelques jours après la réduction (déplacement secondaire)
- guérir dans une mauvaise position (cale vicieux)
- entraîner des douleurs chroniques,
- limiter la mobilité du poignet,
- limiter la force de préhension,
- entrainer l’apparition d’arthrose à court terme
Les études publiées montrent qu’environ 50 % des fractures réduites (sans ostéosynthèse) et plâtrées peuvent se redéplacer, en particulier chez les personnes âgées ou en cas de fracture complexe. C’est dans ces situations que la chirurgie par plaque, notamment via la technique MIPO, est recommandée.
La technique MIPO : une technique mini invasive au service du patient
MIPO signifie « Minimally Invasive Plate Osteosynthesis », soit ostéosynthèse par un abord mini-invasive. Il s’agit d’une technique chirurgicale utilisant une plaque palmaire verrouillée, mais posée en utilisant une petite incision (1,5cm) mais surtout en préservant les structure voisine de la fracture : Vascularisation, muscle…
Contrairement à l’abord classique, la technique MIPO ne nécessite pas de grande ouverture. La plaque est insérée sous les tissus (notamment le muscle carré pronateur) et glissée au contact la fracture, ce qui permet :
- une préservation des muscles et de la vascularisation osseuse,
- une conservation de l’hématome au contact de la fracture riche en cellule souche
- une diminution des douleurs postopératoires,
- une réduction du traumatisme opératoire et une récupération plus rapide.
Cette approche respecte de manière optimale les structures essentielles à la cicatrisation de la fracture tout en préservant l’anatomie du poignet, notamment les tendons fléchisseurs, le nerf médian et les vaisseaux.
Comment se déroule l’intervention MIPO ?
L’intervention se déroule généralement en ambulatoire, sous anesthésie loco-régionale ou générale.
- Une incisions de 1,5cm de long est réalisée sur la face palmaire du poignet
- La partie distale du radius est exposée en préservant les structures au contact de l’os, permettant l’introduction de la plaque.
- La fracture est reduite sur la plaque sous contrôle radiographique ou/et arthoscopique en commençant par la partie distale et en finissant par la partie proximale.
- La plaque est fixée avec des vis verrouillées.
- Les incisions sont refermées par un surjet de fils non résorbable.
L’utilisation de vis verrouillées crée un montage extrêmement stable, capable de supporter rapidement les mouvements du poignet.
Cette stabilité immédiate est l’un des avantages majeurs de la technique, car elle permet une mobilisation précoce.

Les bénéfices de la technique MIPO pour les patients
Une récupération plus rapide
Les études comparant la chirurgie par plaque et le traitement orthopédique montrent que les patients opérés retrouvent leurs amplitudes de mouvement et leur autonomie beaucoup plus tôt.
Les gestes essentiels comme manger, se laver, s’habiller sont récupérés en quelques jours.
Une réduction du traumatisme chirurgical
La MIPO limite la dissection et le décollement des tissus. Ce respect des plans anatomiques diminue les douleurs, les risques d’inflammation et favorise une recupération rapide.
Des cicatrices plus discrètes
Les incisions étant limitées, les cicatrices sont petites, fines et généralement peu visibles après quelques mois.
Un retour plus rapide aux activités
Grâce à la stabilité apportée par la plaque, à la préservation de la vascularisation tissulaire, les activités quotidiennes reprennent rapidement. La rééducation peut débuter très tôt, permettant une récupération optimale.

Quels patients ne peuvent pas bénéficier de la technique MIPO ?
Contrairement aux idées reçues, les fractures complexes, comminutives ou instables ne sont pas une contre-indication à la MIPO. Au contraire, la stabilité apportée par la plaque verrouillée et la précision obtenue sous contrôle radiologique en font une option particulièrement adaptée aux fractures du poignet nécessitant une réduction rigoureuse.
En réalité, ce ne sont donc ni le type de fracture, ni la sévérité du déplacement, ni le nombre de fragments qui limitent l’utilisation de cette technique. La principale limite identifiée dans la littérature comme dans la pratique clinique est le niveau d’expertise du chirurgien dans la technique. La MIPO est une technique exigeante qui nécessite une parfaite connaissance de l’anatomie du poignet, une maîtrise du travail sous les tissus et une grande habileté dans la réduction indirecte sur plaque.
Les véritables contre-indications restent rares. Elles concernent essentiellement les fractures très ouvertes avec contamination, les infections locales ou certaines situations médicales exceptionnelles où une chirurgie mini-invasive serait contre-indiquée. Dans l’immense majorité des cas, la MIPO peut être proposée en alternative à l’abord ouvert, à condition que le chirurgien maîtrise pleinement cette technique.
Dans cette perspective, il appartient au chirurgien de déterminer la technique la mieux adaptée à votre fracture, en tenant compte de nombreux paramètres : la forme de la fracture, son déplacement, la qualité de l’os, l’état des tissus, les gestes complémentaires éventuellement nécessaires, et bien sûr l’objectif de récupération fonctionnelle. L’expertise du chirurgien consiste précisément à choisir la stratégie la plus sûre et la plus efficace pour chaque situation, qu’il s’agisse d’une MIPO ou d’un abord traditionnel.
Le patient doit ainsi comprendre que le choix technique n’est pas lié à un manque de compétence, mais au contraire à une analyse personnalisée permettant de proposer la meilleure option pour garantir un résultat optimal.

Après l’opération : évolution et rééducation
Après une intervention MIPO, la douleur est souvent modérée et bien contrôlée par un protocole antalgique rigoureux. Une immobilisation courte peut être parfois proposée pendant quelques jours, mais la mobilisation débute rapidement grâce à la stabilité du montage.
La rééducation est confiée à des kinésithérapeutes spécialisés en rééducation de la main. Les premières semaines sont consacrées à la récupération de la souplesse du poignet et des doigts.
Vous trouverez ici une vidéo montrant les exercices d’autorééducation qui peuvent être débuté, avec l’accord de votre chirurgien, dès le lendemain de la chirurgie.
La consolidation osseuse est généralement obtenue en deux à trois mois. La majorité des patients récupère une fonction quasi complète du poignet entre le troisième et le sixième mois. Le résultat définitif est atteint entre six mois et un an.

Les risques et complications éventuelles
Les complications restent rares. Elles peuvent inclure une irritation tendineuse, une gêne liée à une vis trop longue, une raideur transitoire ou une infection, exceptionnellement.
Dans certains cas, la plaque peut être retirée à partir du 4eme mois post opératoire, mais cela n’est pas systématique.
Comment le SOS Poignet organise la prise en charge des fractures du poignet ?
Notre établissement réunit des chirurgiens spécialisés de la main, des orthésistes et des kinésithérapeutes experts en rééducation de la main et du poignet. Nous disposons d’un circuit de soins non programmés permettant une prise en charge rapide des traumatismes du poignet, avec radiographies sur place, diagnostic immédiat et décision thérapeutique posé par un expert de votre pathologie.
La technique MIPO fait partie des options thérapeutiques proposées au Pôle main poignet Bordeaux Merignac. Chaque dossier est analysé pour offrir un traitement personnalisé, en accord avec les recommandations scientifiques actuelles.
Conclusion
La MIPO représente aujourd’hui l’une des méthodes à la disposition des chirurgiens du SOS Poignet pour traiter les fractures du radius distal nécessitant une chirurgie. Elle associe une technique opératoire mini-invasive, une stabilité mécanique, une mobilisation précoce et une rééducation précoce pour une récupération accélérée.
Au Pôle Main Poignet Bordeaux Mérignac, nous privilégions les techniques qui permettent la meilleure récupération fonctionnelle tout en respectant les tissus. Grâce à l’expertise de notre équipe, chaque patient bénéficie d’une prise en charge adaptée, qu’il s’agisse d’un traitement par orthèse thermoformé ou d’une chirurgie mini-invasive par plaque.